Ortodoncia Invisible
Ortodoncia Invisible Invisalign®
Ortodoncia de última generación con alineadores transparentes y extraíbles. Con tecnología 3D, mostramos tu plan de tratamiento completo desde el primer día, para un resultado predecible, cómodo y sin complejos. La revolución estética que corrige tu sonrisa de forma discreta.Elimina las manchas externas y recupera el tono natural de tu sonrisa con un blanqueamiento dental seguro y supervisado. En Nortedental, priorizamos un diagnóstico personalizado para ofrecerte resultados visibles y una sonrisa radiante, cuidando siempre la salud de tu esmalte.
Invisalign®: Una Solución para Cada Etapa de la Vida
Invisalign® ofrece diferentes sistemas adaptados a las necesidades específicas de cada paciente. Tanto si eres adulto como si buscas la mejor opción para tu hijo adolescente, tenemos el plan perfecto para lograr una sonrisa saludable y alineada.
Invisalign® para Adultos
La solución ideal para adultos que buscan un tratamiento de ortodoncia discreto y eficaz. Alineadores transparentes que se adaptan a tu estilo de vida, permitiéndote comer con total libertad y mantener una higiene óptima sin restricciones.
Invisalign® Teen para Adolescentes
Diseñado específicamente para adolescentes en crecimiento. Incluye indicadores de uso, permite practicar deportes sin riesgos, facilita la higiene y evita complejos estéticos. Aprovecha los picos de crecimiento para guiar el desarrollo óseo.
Invisalign® First para Niños
Dirigido a niños con dentición mixta (entre 6 y 10 años). Corrige problemas de espacio, alineación y desarrollo óseo desde edades tempranas, sentando las bases para una sonrisa sana y armónica en el futuro.
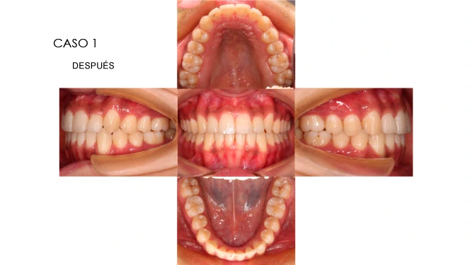
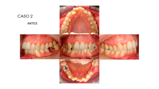
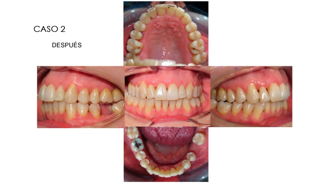
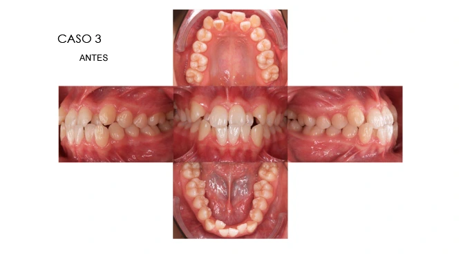
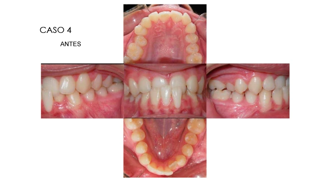
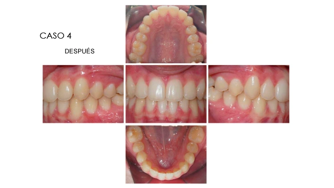
Casos Clínicos










Expertas Certificadas en Ortodoncia Invisible
Dra. Patricia Espinel y Dra. Raquel del Río
Tu tratamiento está dirigido por nuestras Doctoras Patricia Espinel y Raquel del Río, expertas en ortodoncia con certificaciones de nivel Gold II y Platinum Elite II en Invisalign®. Su formación de máster en la prestigiosa Institución Mississippi y su amplia experiencia garantizan un diagnóstico preciso y un plan de tratamiento personalizado y exitoso para cada sonrisa.